その歯並び、あきらめないで!
骨の中まで3Dで見る精密診断で、
あなたに最適な矯正治療を。
他院で断られた難症例にも対応する、
専門家チームによるオーダーメイド治療
無理な勧誘は一切ありませんのでご安心ください
こんなお悩み、当院にご相談ください
-
他院で「抜歯が必要です」
「治療は難しい」と言われた -
インビザラインだけでは、
本当にキレイになるか不安 -
歯並びだけでなく、虫歯や歯周病など
口全体の悩みがある -
費用も大切だが、
何より信頼できる技術で治療を受けたい -
過去に矯正したが、後戻りしてしまい
再治療を考えている
くろさき歯科が選ばれる理由
-
01
骨の中まで3Dで把握する 「歯科用CT」による精密診断矯正治療の成功は、目に見えない「あごの骨」や
「歯の根」の状態をいかに正確に把握できるかに
かかっています。当院では先進の歯科用CTを導入し、通常のレントゲンでは分からない骨の厚みや歯の根の向きまで三次元で可視化。これにより、歯を動かす際の無理な負担を避け、より安全で予知性の高い治療計画を立案できます。特に、マウスピース矯正(インビザライン)とCTデータを統合することで、治療計画の精度を飛躍的に高めることが可能です。
-
02
あらゆる選択肢から最適解を導く 導く「オーダーメイド治療」当院では、ワイヤー矯正、マウスピース矯正
(インビザライン)、そして両者を組み合わせた
ハイブリッド矯正まで、あらゆる治療法に対応しています。特定の治療法に偏ることなく、CTによる精密検査の結果と患者様の
ご希望を照らし合わせ、それぞれのメリット・デメリットを丁寧に説明。あなたにとって本当に最適な治療法を一緒に考え、ご提案します。 -
03
各分野の専門家が連携する 「チーム医療」体制矯正治療を成功させるには、
土台となる口腔環境が健康でなければなりません。当院には、矯正歯科だけでなく、歯周病や根管治療(歯の根の治療)、補綴(被せ物)など、それぞれの分野を専門とする歯科医師が在籍しています。治療用の顕微鏡(マイクロスコープ)を用いた精密な治療も可能であり、矯正中の万一のトラブルにも、各専門家が連携して高い水準の医療を提供できる体制が整っています。
治療の品質を統括する院長と、
実現する専門家チーム
総院長 黒崎 俊一
経歴・活動
歯科大学卒業後、大学院にて研鑽を積む
平成8年より、くろさき歯科にて診療に従事
日本矯正歯科学会、日本歯科審美学会 所属
歯科医師を対象とした講習会(東京・大阪)での指導経験
さいたま市 小学校校医
メッセージ
私が歯科医師として最も大切にしているのは、目先の治療で終わらせず、
患者様の生涯にわたる口腔の健康に貢献することです。
そのために、くろさき歯科では「信頼できる医療の提供」を第一に掲げ、
各分野の専門家を束ね、チームとして最高水準の治療を提供できる体制を構築してまいりました。
私は、CTを用いた精密診断から、矯正治療と一般歯科治療(虫歯・歯周病・被せ物など)
との連携まで、治療全体の品質を統括する立場として、全ての治療計画に責任を持ちます。
どのような複雑なお悩みでも、安心してご相談いただける。それが私の理想とする歯科医院の姿です。
尾崎 桂三先生
経歴・活動
愛知学院大学卒業
医療法人スワン会 勤務
名古屋イースト矯正歯科・藤が丘院開院
→名古屋イースト歯科・矯正歯科に移転拡張開院
日本全国の複数のクリニックでインビザライン矯正治療の導入サポートを行う(株式会社KOP)
日本IOBアライナー矯正歯科学会設立(代表理事)
横浜関内矯正歯科ブランシュ開院
EAS(ヨーロッパアライナー学会 会員)
医療法人信義会 理事就任
症例のご紹介
※ここに掲載されている症例は、
患者様の同意を得て掲載しています。
治療結果には個人差があります。治療内容、標準的な費用、
治療期間・回数、主なリスクや副作用については、
各症例の詳細をご確認ください。
-
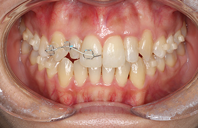
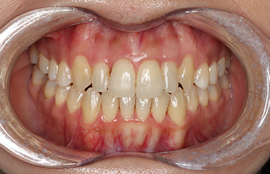
症例1
叢生(歯並びのガタつき)
18歳 女性
-
治療前
-
治療後
- 治療内容 : マウスピースによる歯科矯正
- 治療期間 : 約1年3ヵ月
- 費用の目安 : 88万円(税込)
- 副作用・リスク : 装置による痛み、虫歯・歯周病のリスク、歯根吸収、後戻り、生活習慣などによる治療の個人差
-
-
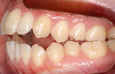
症例2
叢生(歯並びのガタつき)
42歳 女性
-
治療前
-
治療中
マウスピースと
ワイヤーを併用 -
治療後
- 治療内容 : マウスピース矯正を行い、1年3月目から一部ワイヤーを併用するハイブリッド矯正(いいとこどり矯正)を実施
- 治療期間 : 約1年6カ月(1年3ヵ月からワイヤー装着)
- 費用の目安 : 99万円(税込)
- 副作用・リスク : 装置による痛み、虫歯・歯周病のリスク、歯根吸収、後戻り、生活習慣などによる治療の個人差
-
-
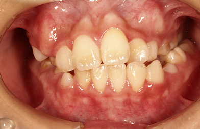
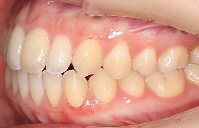
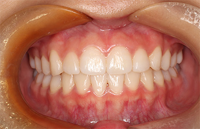
症例3
開咬
19歳 女性
-
治療前
-
治療後
- 治療内容 : マウスピースによる歯科矯正
- 治療期間 : 8か月
- 費用の目安 : 88万円(税込)
- 副作用・リスク : 装置による痛み、虫歯・歯周病のリスク、歯根吸収、後戻り、生活習慣などによる治療の個人差
-
-
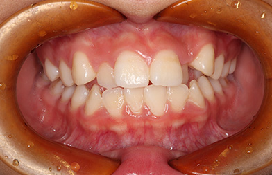
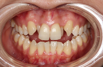
症例4
叢生(歯並びのガタつき)非抜歯
16歳 男性
-
治療前
-
治療後
- 治療内容 : マウスピースによる歯科矯正、非抜歯で行いました
- 治療期間 : 約2年3ヵ月
- 費用の目安 : 88万円(税込)
- 副作用・リスク : 装置による痛み、虫歯・歯周病のリスク、歯根吸収、後戻り、生活習慣などによる治療の個人差
-
症例写真は、治療結果の一例です。
※矯正治療には以下のような副作用やリスクが伴います。
・装置による痛み・違和感
・虫歯・歯周病のリスク
・歯根吸収や歯ぐきの退縮
・発音や咀嚼への一時的な影響
・治療後の後戻りの可能性
・治療中は一時的に 発音や咀嚼に影響 が出る場合があります。
・抜歯が必要になることがあり、その場合は別途治療リスクが生じます。
・顎の骨格や噛み合わせの状態によっては、 外科的処置が併用される場合 があります。
治療期間や効果には個人差があります。症例写真は一例であり、すべての方に同様の結果を保証するものではありません。詳しくはカウンセリング時にご説明いたします。
ご相談から治療完了までの流れ
-
STEP 01
無料
カウンセリング
予約 -
STEP 02
カウンセリングを
受ける -
STEP 03
CT等による
精密検査 -
STEP 04
治療計画の
ご提案(マウスピース・ワイヤー・
ハイブリッド) -
STEP 05
矯正治療開始
-
STEP 06
保定期間・
メンテナンス
安心して
治療を始めていただくために。
柔軟な料金体系
当院では、治療開始前に必要な費用の概算をお示しします。料金体系は、治療の基盤となる「基本料金」と、通院ごとにかかる「調整料」で構成されています。患者様一人ひとりのご状況に合わせて、無理なくお支払いいただけるよう、多様な支払い方法をご用意しております。
ご利用可能なお支払い方法
現金、銀行振込、各種クレジットカードのほか、
月々定額のデンタルローン(分割払い)もご利用いただけます。
最大120回までの分割払いが可能です。
最大10回までの分割払いなら、金利・手数料は
当院が負担いたします!
月々のお支払いシミュレーション例
総額88万円(税込)の治療の場合
| 支払い回数 | 毎月支払い金額 |
|---|---|
| 120回払い | 約9,600円 |
| 36回払い | 約24,000円 |
医療費控除について
医師が「噛み合わせの改善」など、機能的な問題を解決するために必要と診断した場合、矯正治療の費用は医療費控除の対象となる場合があります。これにより、所得税が還付される可能性があります。対象となるかどうかの詳細や、手続きについてはお気軽にご相談ください。
よくいただく質問
-
矯正の認定医とはなんですか?
矯正の認定医は、各学会が認めた大学病院・矯正医療機関で、5年以上の臨床経験(実際に矯正治療を行った経験)を持ち、学会での発表等で審査に合格した歯科医師のことを言います。学会により基準は違いますが、共通しているのは、歯列矯正の知識と経験を認定されているということです。最近ではインビザラインなどのマウスピース矯正が普及して、認定医でなくて歯列矯正を行う歯科医師が増えました。こうした場合でも症例数に応じてランク分けがあります。実績のある矯正医が絶対的に良いとは言えませんが、矯正歯科を選ぶ基準に考えていただければよろしいかと思います。
-
歯周病だと矯正ができないと言われました。何か方法はないでしょうか?
そんなことはありません。失礼を承知でお話しすれば、その歯科医院で歯周病を治療しながら、歯列矯正ができないということでしょう。確かに歯周病でぐらついている歯に力をかければ歯が抜けてしまいかもしれません。しかし、それはその歯科医院に判断であり、絶対的な正解ではありません。歯周病でも歯列矯正ができる歯科医院はありますので、複数の歯科医院に相談してみるといいでしょう。くろさき歯科には歯周病の専門医が在籍していますので、他院で無理だと言われた方の歯列矯正も行なっています。
-
マウスピースとワイヤーのメリットとデメリットを教えてください。
マウスピース矯正は取り外しができますし、目立たないということが大きなメリットです。しかし、1日22時間の装着時間が必要になります。ついつい外してしまって、矯正治療が進なないということがないように取り外しができないワイヤーを選ぶ方もいます。ワイヤー矯正でも裏側にワイヤーをつける方法ですと、目立たないというメリットもあります。以前は、マウスピース矯正がガタガタの歯に適していないと言われていましたが、どんどん精度は上がっています。くろさき歯科では、ワイヤーが得意な矯正医とマウスピースを専門とする矯正医がおりますので、患者様の歯の状態に合わせて矯正医を選んでいただくこともできます。
-
歯を抜かずに矯正をする方法はありますか?
あります。しかし、術式が高度になるために、治療ができる歯科医師が多くはありません。どうしても歯を抜きたくない場合は、複数の歯科医院に相談をしてください。できる歯科医院は必ずあります。歯は抜いてしまったら元には戻せません。くろさき歯科では、できるだけ歯を抜かない歯列矯正を心がけています。
一歩踏み出す勇気が、
あなたの未来を変えるかも
しれません
美しい歯並びは、見た目の自信だけでなく、
心と体の健康にも繋がります。
歯並びでお悩みなら、ぜひ一度ご相談ください。
私たちが全力でサポートします。
くろさき歯科 総院長 黒崎 俊一





